QP-Prostate®
Discover QP-Prostate®

Prostate cancer is the second most common cancer in men, representing a significant public health concern. While MRI scans are essential for early detection, the growing demand has surpassed the availability of radiology experts, with diagnostic delays and inconsistencies in interpretation as direct consequences. Only a minority of the medical community consistently follows PI-RADS v2.1 guidelines.
QP-Prostate introduces enhanced diagnostic capabilities, streamlining radiologists’ workflows by automatically ensuring compliance with PI-RADS v2.1 guidelines, accurately segmenting the prostate gland, and efficiently identifying suspicious lesions. These advancements enable radiologists to provide faster and more accurate assessments, directly improving patient care.
End-to-end management workflow: the new prostate ecosystem platform
- Upgraded user interface
- Guaranteed access to the original image at all times.
- Editing tools. Flexible overlays: optional, adjustable, and removable AI-generated findings.
- Clinicians keep full autonomy and control
- Seamless integration into PACS and fusion biopsy systems
- Advanced viewing with 3D visualization
- Structured report enhances clinical communication
Aggressive cancer detection and diagnosis
QP-Prostate is setting a new standard for accuracy, speed, and diagnostic precision. Its AI algorithm identifies and stratifies by likelihood intermediate and high-grade aggressive prostate cancer lesions, and provides a segmentation of the prostate. This allows Health Care Professionals to improve their diagnostic accuracy and fusion biopsy planning.

QP-Prostate, a suite of enhanced diagnostic capabilities
End-to-end prostate management workflow
Upgraded user interface & seamless integration into PACS and fusion biopsy systems allowing a fully automated workflow.
Image quality assessment
Quibim AI-QUAL™ automates the assessment of prostate MRI image quality based on the PI-QUAL v2 guidelines.
Prostate segmentation
Automatically segments each prostate region, including the peripheral zone, the transitional and central zone, and the seminal vesicles.
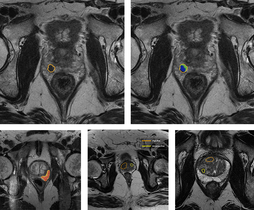
Lesion detection & diagnosis
QP-Prostate automatically identifies and highlights prostate regions suspicious for aggressive prostate cancer, assigning each a confidence-based classification score.
Structured report
PI-RADS compliant structured report that automatically integrates AI findings with radiologist annotations.
Fusion biopsy planning
QP-Prostate is fully integrated into most of the fusión biopsy devices, to allow a more accurate targeted biopsy.

Focal therapy
QP-Prostate helps planning focal therapy treatment through an accurate and editable 3D-representation.
AI-QUAL™: Automated Prostate Image Quality Assessment
Quibim’s AI-QUAL™ automates the assessment of prostate MRI image quality based on the PI-QUALv2 guidelines. This tool streamlines workflows and supports diagnostic confidence.
Key benefits of AI-QUAL include:
- Automated Quality Scoring: Eliminates manual checks, saving time and reducing subjectivity.
- Standardized Reporting: Delivers consistent quality score based on PI-QUAL v2 guidelines.
- Artifact Detection: Identifies key image-degrading factors such as rectal gas distortion and metal artifacts.
- Diagnostic Confidence: Ensures radiologists work with the highest quality images.
- Seamless Integration: Designed to fit effortlessly into existing radiology workflows.

Your AI solution for advanced prostate cancer detection




-

1. Unmatched clinical evidence
Quibim is setting new benchmarks in diagnostic accuracy and elevating the standard in clinical practice. With a 10% increase in sensitivity, QP-Prostate AI tool increases expert radiologists’ detection rates by up to 90%*. -

2. Optimizing specificity
With Quibim’s dual-validation approach using both systematic and targeted biopsies, our algorithms are robustly validated against the most comprehensive ground truth data available in the industry. -

3. Fully automated workflow
Our workflow integrates seamlessly into existing systems, providing clinicians a streamlined, efficient diagnostic process that is unpaired in the industry. -

4. Regulatory status
Quibim meets international regulatory standards and is a pioneer in securing approvals across global markets. QP-Prostate has received, among others, CE marking, UKCA marking, and 510(k) clearance, setting us apart in the US market.
How does it work?

Changing the narrative in prostate diagnosis thanks to maximum accuracy in prostate MRI interpretation
In short, QP-Prostate leverages advanced artificial intelligence image processing techniques to offer a state-of-the-art approach to prostate MRI interpretation. This image processing software is compatible with standard workstations and allows for the visualization and analysis of DICOM data by qualified professionals.
Developed by Quibim, QP-Prostate excels in automating the segmentation of critical prostate regions, including the transition zone, peripheral zone and seminal vesicles. By streamlining these complex processes, the software not only aids in the interpretation of prostate MRI images, but also enables more accurate diagnoses. This combination of sophisticated AI-based analysis and user-friendly implementation makes QP-Prostate an invaluable tool in the hands of healthcare professionals, ensuring better patient outcomes through more reliable and detailed assessments.
References
-
Jimenez-Pastor A, et al. Eur Radiol. 2023;33(7):5087-5096.
-
Sánchez Iglesias Á, et al. Cancers (Basel). 2023;15(16):4163.
*Pilot study conducted in 2023 at Massachussets General Hospital.






